Bienvenue
Nous sommes heureux de vous présenter notre laboratoire dentaire
Après avoir fait nos armes et acquit nos maîtrises fédérales, nous avons décidé d'oeuvrer à notre propre compte en créant le Laboratoire Dentaire Sàrl Pat & Yann Fischer en 2008
Fort d'une équipe de 4 collaborateurs, dont deux apprentis et une technicienne, nous collaborons avec un grand nombre de dentistes de la région. Notre but est votre satisfaction à 100%
Nous vous souhaitons une excellente visite
De la commande à la réception
Commande

Le besoin...
Que vous ayez besoin de réparer, remplacer, porter une prothèse ou d’améliorer l’esthétique de votre dentition nous avons les solutions
Création

La copie...
Après discussion, conseils, prises de teintes et photos, afin que le résultat ne se distingue pas d’une vraie dentition, nous réalisons votre sourire
Résultat

Le résultat...
Notre savoir-faire et notre expérience permettent un travail d'une précision et d'un rendu naturel. Le résultat est un produit d'une finition exemplaire
Les techniques de production
Certification

Toutes nos matières premières, outillages et machines sont d'une qualité irréprochables et répondent aux plus récents standards européens. Grâce à une formation continue, nos techniques de travail et de fabrication sont régulièrement mis à jour afin de garantir une qualité toujours parfaite
Quelque soit votre problème dentaire,
nous nous efforcerons de trouver la solution
La dentisterie du technicien dentaire
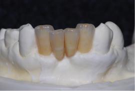
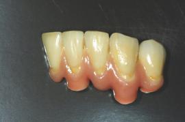
La couronne
Une couronne reconstitue artificiellement la dent délabrée. Elle peut être simple, ou associée à un faux moignon ancré dans la racine de la dent par un pivot, qui va servir de pilier à la couronne.

Le pont ou bridge
Le principe est le même que pour la couronne, un pont sert à remplacer une dent absente voire plusieurs, en s'appuyant sur les dents adjacentes, un de chaque coté. On peut aussi réaliser un bridge de grande portée, en prenant appui sur plusieurs dents piliers.
Avantages : utilise un dispositif fixe (qu'on ne doit pas enlever chaque jour pour le nettoyage). Une prothèse fixe reconstitue la dent au plus proche de l'état naturel. Matériaux : les prothèses fixes peuvent être : céramométalliques ou toute céramique.

Les facettes
Les facettes sont de minces coquilles qui couvrent le devant des dents. Elles sont utilisées pour restaurer les dents tachées, décolorées, déformées ou légèrement détériorées par l’usure. Les facettes étant surtout placées sur les dents de devant, elles corrigent donc le contour, la couleur et les dimensions des dents pour améliorer l'apparence du sourire.
Les matériaux utilisés pour fabriquer les facettes dentaires sont principalement la porcelaine et le composite. Une facette en composite peut être produite de façon directe, c’est-à-dire que le dentiste la construit directement sur la dent, ou de façon indirecte, à l’extérieur de la bouche, généralement dans un laboratoire dentaire.
En contraste, les facettes en porcelaine sont produites de façon indirecte seulement. La porcelaine est plus esthétique et résiste mieux aux taches alimentaires que les facettes en composite.


Les implants
Un implant est une sorte de vis, qu'on va fixer dans l'os. Il est dans la majorité des cas en titane, ce matériaux étant biocompatible et particulièrement bien toléré. L'implant sert à remplacer la dent manquante de manière parfaitement naturelle.
Prothèse fixe sur implant : il s'agit soit de couronnes, soit de ponts.
Prothèse amovible sur implant : on utilisera des boutons-pression ou une barre pour faire tenir la prothèse en plus de la succion.
L'avantage des implants : les dents proximales ne sont pas taillés comme pour un pont conventionnel.



La prothèse amovible
Une prothèse amovible est une prothèse qui peut s'enlever, couramment nommée "dentier".
Prothèse partielle avec châssis métallique ou stellite
C'est une prothèse à base métallique, rigide, qui s'appuie à la fois sur les dents restantes et sur les muqueuses. La base métal sert de support pour soutenir des dents résines à l'emplacement des édentations.
Avantages : légèreté, encombrement réduit, stable, généralement bien supportés et moins coûteux que des bridges.



La prothèse partielle en résine
C'est une prothèse composée exclusivement de résine, avec des crochets en métal souple. Elle est plutôt réservée à un usage temporaire.

La prothèse complète
Quand il ne reste plus du tout de dents, on les remplace par une prothèse en résine, qui s'appuie sur les muqueuses et tient par succion.

Appareils orthodontiques
L'orthodontie est une spécialité dentaire vouée à la correction des mauvaises postures des mâchoires et des dents. Elle permet d'optimiser l'équilibre postural entre les structures osseuses, l'occlusion (engrènement dentaire), ainsi que le développement des bases osseuses dans un but fonctionnel et esthétique.
Plusieurs appareils sont à disposition pour les différents traitements. Soit fixe ou amovible.


Matériaux
Les dents des prothèses amovibles peuvent être en résine ou en céramique selon la morphologie et l’âge du patient. La base en résine est un polymethacrylate de méthyle. Pensez à retourner chaque année chez votre dentiste dans le cas d'une prothèse pour effectuer un contrôle et peut-être un rebasage de la prothèse amovible.
Les gouttières
Gouttière de blanchiment : pour blanchir les dents.
Gouttière miniplast : pour les gens qui grincent des dents.
Gouttière Michigan : pour la décharge articulaire.
Gouttière de protection : pour les sports à risques (boxe, karaté, ski, wakeboard, rugby, etc).
textes et photos Yann Fischer
Adresse, horaires et téléphones
Le laboratoire est ouvert du :
lundi au vendredi 08h00-1200 et 14h00-17h30.
Fermé le samedi, dimanche et jours fériés.
Nos numéros de téléphones :
bur +41 32 724 05 05
mob +41 79 297 14 57
fax +41 32 724 05 04
Adresse du laboratoire :
Laboratoire Dentaire Sàrl
Pat & Yann Fischer
Rue Saint-Maurice 2
CH-2000 Neuchâtel, Suisse
.png?v=1j6g15t)
Google maps
Formulaire de contact
Dernière mise à jour le 15.06.2025